пр. Независимости, 185
На карте Каждый день с 9 до 21
  • vk
  • fb
  • inst
  • ok

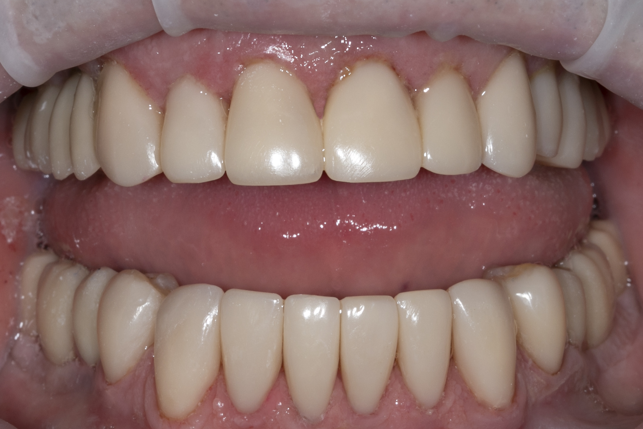
Комплексное восстановление зубов на нижней и верхней челюстях

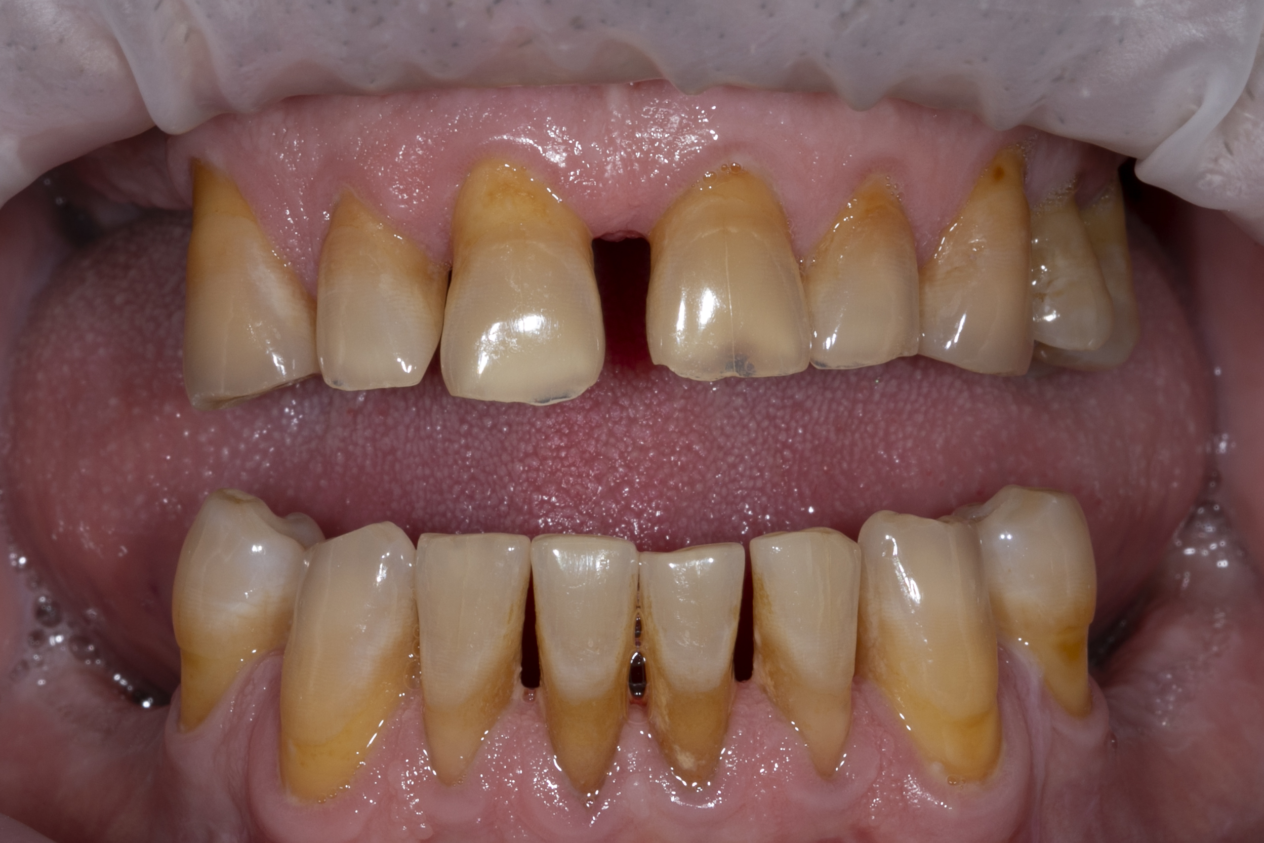
Комплексное восстановление зубов на нижней и верхней челюстях - до
Комплексное восстановление зубов на нижней и верхней челюстях - после

Причина обращения:

Частичное отсутствие зубов на нижней и верхней челюсти, разрушенные и подвижные зубы на верхней и нижней челюсти, хронический периодонтит, зубные отложения. 

Лечение:

  1. Проведена профессиональная гигиена полости рта.
  2. Выполнено частичное удаление зубов на нижней челюсти.
  3. Проведен синус-лифтинг справа и слева на верхней челюсти.
  4. Осуществлена дентальная имплантация на нижней челюсти имплантатами ROOTT.
  5. Через 6 месяцев после синус-лифтинга установлены импланты на верхнюю челюсть.
  6. Формирователи десны (ФДМ) установлены на имплантаты верхней и нижней челюсти.
  7. После приживления имплантов установлены металлокерамические коронки на импланты и мостовидные протезы на зубы.
  8. На всех этапах лечения проводился рентгенологический контроль.

Эстетический этап:

  1. Установлены виниры на зубы верхней челюсти.
  2. Выполнено шинирование для дополнительной стабилизации.

С пациентом работали:

Вы можете задать интересующие вас вопросы, или узнать стоимость лечения, прислав 3D снимок зубов (КЛКТ) на почту info@viodent.by

Полезное
Можно ли делать МРТ с имплантами зубов?
Можно ли делать МРТ с имплантами зубов? 9 Январь 2026
Что такое синус-лифтинг и зачем он нужен: рассказывает врач стоматологии
Что такое синус-лифтинг и зачем он нужен: рассказывает врач стоматологии "Виодент" Грицкевич Татьяна Викторовна 24 Февраль 2026
Задайте любой вопрос нашему специалисту
Задайте любой вопрос нашему специалисту! + Консультация займёт всего 30-40 минут.
Задайте любой вопрос
Задайте любой вопрос нашему специалисту!
м.Уручье, пр. Независимости, 185 Каждый день с 9 до 21
  • vk
  • fb
  • inst
  • ok
+ В ближайшее время с Вами свяжется администратор, проконсультирует по условиям и стоимости лечения, подберёт врача и запишет на приём. + Консультация займёт всего 30-40 минут.
Стоматология в Уручье
м.Уручье, пр. Независимости, 185 Каждый день с 9 до 21 +375 17 271-10-11 +375 17 252-54-11
  • vk
  • fb
  • inst
  • ok
Как добраться Метро: ст.м. Уручье, 300 метров в сторону улицы Острошицкой Автобусы: 15, 31, 33, 80, 86, 99, 153, 155, 72 до остановки «Острошицкая» Троллейбусы: 62 до остановки «Острошицкая»
services Услуги doctors Врачи prices Цены before-after До/после contacts Контакты
+375 29 667-60-11 +375 29 705-51-04 +375 17 271-10-11
  • vk
  • fb
  • inst
  • ok
пр. Независимости, 185 На карте
Каждый день с 9 до 21 info@viodent.by
Пройти тест«Узнайте стоимость лечения»