пр. Независимости, 185
На карте Каждый день с 9 до 21
  • vk
  • fb
  • inst
  • ok

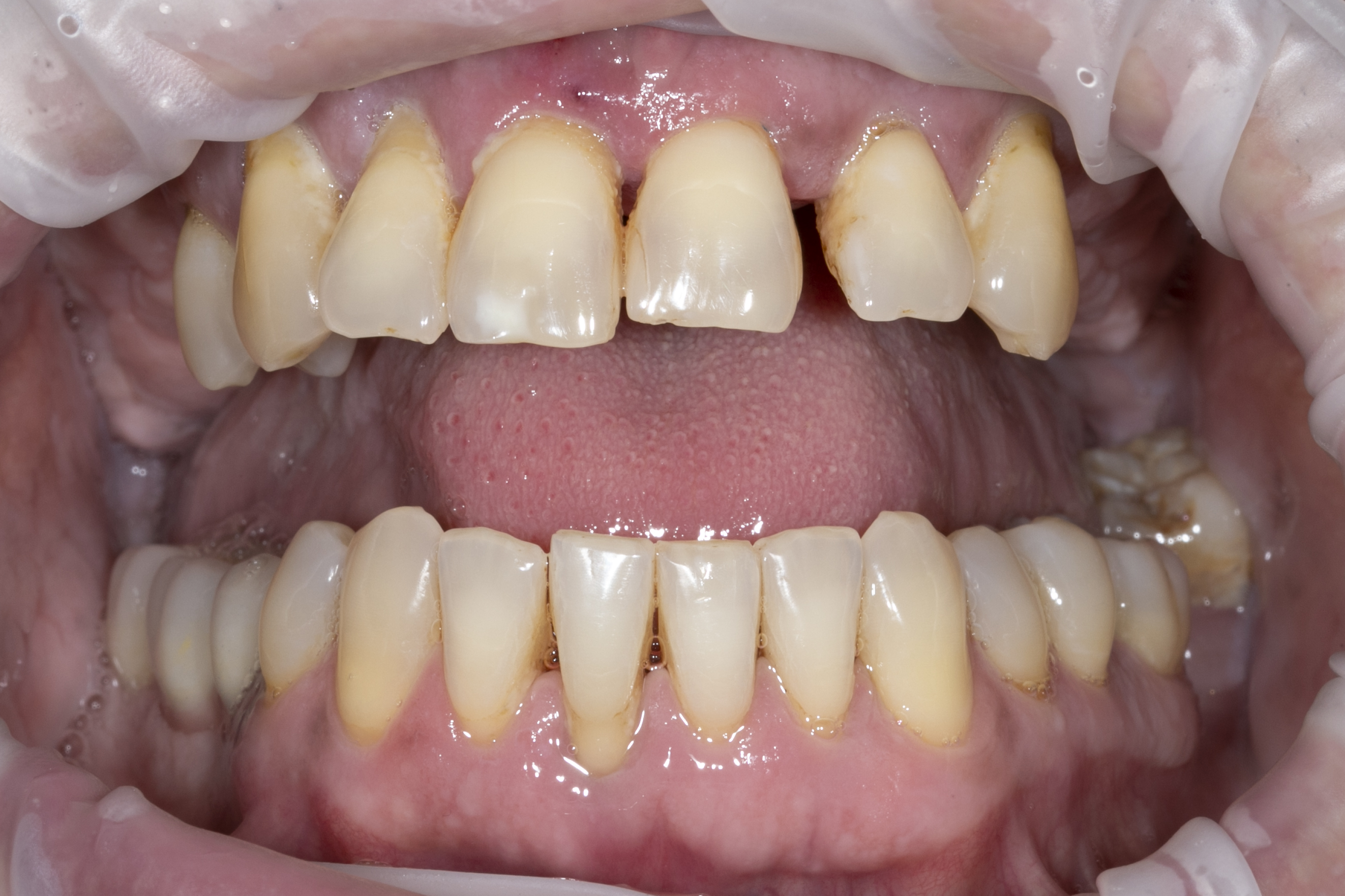
Имплантация верхней челюсти методом All-on-6 ("Все-на-6")

Имплантация верхней челюсти методом All-on-6 (
Имплантация верхней челюсти методом All-on-6 (

Причина обращения:

Частичное отсутствие зубов на верхней челюсти, разрушенные и подвижные зубы на верхней и нижней челюсти. 

Лечение:

  1. Проведено удаление всех зубов верхней челюсти.
  2. Выполнено удаление зубных отложений в полости рта.
  3. Проведена имплантация верхней челюсти методом All-on-6 швейцарской системой ROOTT с немедленным протезированием металлопластмассовым протезом.
  4. Через 9 месяцев проведена замена временного металлопластмассового протеза на постоянный металлокерамический протез.

С пациентом работали:

Вы можете задать интересующие вас вопросы, или узнать стоимость лечения, прислав 3D снимок зубов (КЛКТ) на почту info@viodent.by

Полезное
Что такое синус-лифтинг и зачем он нужен: рассказывает врач стоматологии
Что такое синус-лифтинг и зачем он нужен: рассказывает врач стоматологии "Виодент" Грицкевич Татьяна Викторовна 24 Февраль 2026
Всё про гингивит виды, симптомы, лечение
Всё про гингивит виды, симптомы, лечение 9 Октябрь 2024
Задайте любой вопрос нашему специалисту
Задайте любой вопрос нашему специалисту! + Консультация займёт всего 30-40 минут.
Задайте любой вопрос
Задайте любой вопрос нашему специалисту!
м.Уручье, пр. Независимости, 185 Каждый день с 9 до 21
  • vk
  • fb
  • inst
  • ok
+ В ближайшее время с Вами свяжется администратор, проконсультирует по условиям и стоимости лечения, подберёт врача и запишет на приём. + Консультация займёт всего 30-40 минут.
Стоматология в Уручье
м.Уручье, пр. Независимости, 185 Каждый день с 9 до 21 +375 17 271-10-11 +375 17 252-54-11
  • vk
  • fb
  • inst
  • ok
Как добраться Метро: ст.м. Уручье, 300 метров в сторону улицы Острошицкой Автобусы: 15, 31, 33, 80, 86, 99, 153, 155, 72 до остановки «Острошицкая» Троллейбусы: 62 до остановки «Острошицкая»
services Услуги doctors Врачи prices Цены before-after До/после contacts Контакты
+375 29 667-60-11 +375 29 705-51-04 +375 17 271-10-11
  • vk
  • fb
  • inst
  • ok
пр. Независимости, 185 На карте
Каждый день с 9 до 21 info@viodent.by
Пройти тест«Узнайте стоимость лечения»